• Mohegan Lake: (914) 594-6824
Advanced Dentistry Of Mohegan Lake logo
Book Now
  • Dental Implants
    • Dental Implant Options
    • Single Dental Implants
    • Multiple Dental Implants
    • Full Mouth Dental Implants
    • Robotic Surgery
  • TMJ Treatment
  • Cosmetic Dentistry
    • Cosmetic Options
    • Smile Makeover
    • Dental Crowns & Bridges
    • Veneers & Lumineers®
    • Teeth Whitening
  • Services
    • General Dentistry
    • Periodontal Treatment
    • Laser Dentistry
    • Sedation Dentistry
    • Dentures
    • Tooth Extractions
    • Root Canals
    • Sleep Apnea Treatment
  • Amazing Results
    • Before & After Results
    • Patient Video Testimonials
    • Patient Story: Natalia
  • About Us
    • Meet Our Doctors
      • Dr. George Sepiashvili
      • Dr. Wanda Mejia
    • About Us
    • What to Expect
    • Advanced Technology
    • Office Tour
    • Insurance & Financing
    • Patient Center
    • Video Library
    • Blog
  • Contact
  • Dental Implants
    • Dental Implant Options
    • Single Dental Implants
    • Multiple Dental Implants
    • Full Mouth Dental Implants
    • Robotic Surgery
  • TMJ Treatment
  • Cosmetic Dentistry
    • Cosmetic Options
    • Smile Makeover
    • Dental Crowns & Bridges
    • Veneers & Lumineers®
    • Teeth Whitening
  • Services
    • General Dentistry
    • Periodontal Treatment
    • Laser Dentistry
    • Sedation Dentistry
    • Dentures
    • Tooth Extractions
    • Root Canals
    • Sleep Apnea Treatment
  • Amazing Results
    • Before & After Results
    • Patient Video Testimonials
    • Patient Story: Natalia
  • About Us
    • Meet Our Doctors
      • Dr. George Sepiashvili
      • Dr. Wanda Mejia
    • About Us
    • What to Expect
    • Advanced Technology
    • Office Tour
    • Insurance & Financing
    • Patient Center
    • Video Library
    • Blog
  • Contact
Book Now

Before & After Results

The Proof Is in Our Patients

Schedule Now
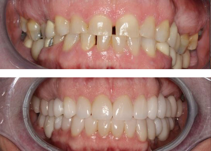
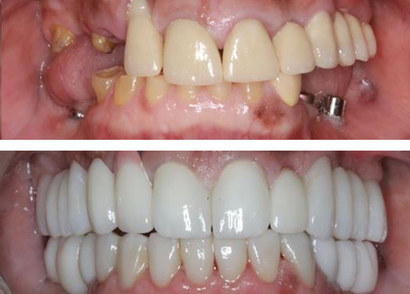
All on 6 non removable denture
Full mouth porcelain rehabilitation/restoration and implants
Full Mouth Reconstruction
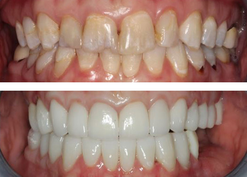
Full Mouth Reconstruction
Full Mouth Reconstruction
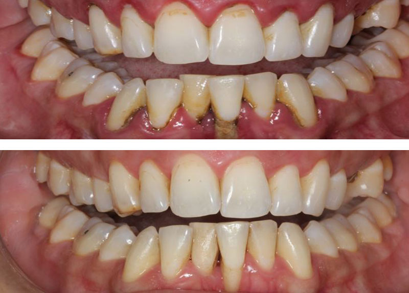
Full Mouth Reconstruction
Full Mouth Reconstruction
TMJ Treatment, Dentures
TMJ Treatment, Dentures, Dental Veneers
Upper and Lower All-On-4 ™ Dentures
Porcelain Veneers
TMJ Treatment, Full Mouth Reconstruction
TMJ Treatment, Dental Implants
Partial Denture Rejuvenation
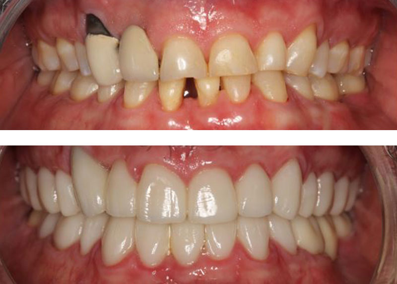
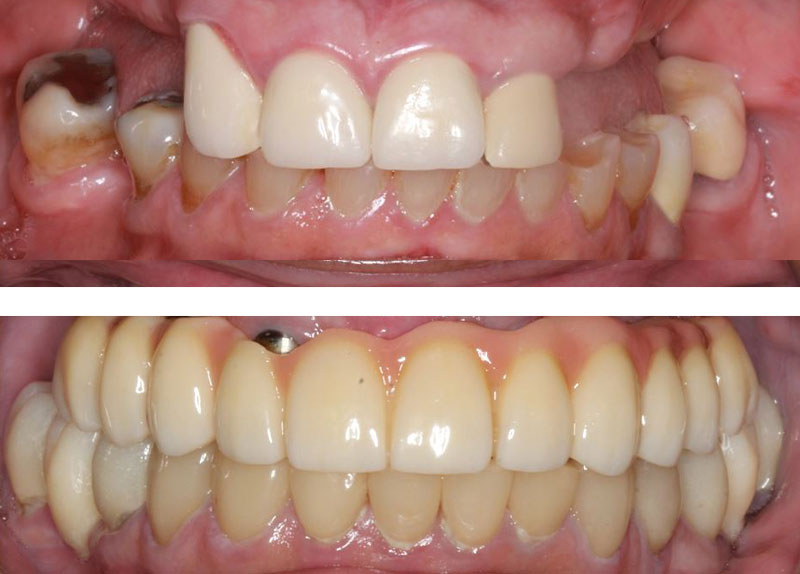
Dental Implant Restoration
Full Mouth Reconstruction, Orthodontics, Porcelain Restorations
Dentures
Full Mouth Restoration
Full Mouth Reconstruction
Dentures, Dental Implants
Implant Dentures
Full Mouth Reconstruction
Full Mouth Restoration
Full Mouth Restoration
Dental Implants & Smile Makeover
Full Mouth Restoration, TMD Treatment
All-On-6
Before & After Dental Implants

Try Something New

Choose dentistry that’s all about you.

Schedule Consultation
advanced dentistry logo white
Facebook Youtube Google Yelp Instagram

Advanced Dentistry of Mohegan Lake

New Patients:
(914) 594-6824

Current Patients:
(914) 526-2144

Address:
1966 East Main Street
Mohegan Lake, New York 10547

Office Hours:
Monday 8:30 am – 5:00 pm
Tuesday 8:30 am – 5:00 pm
Wednesday 8:30 am – 5:00 pm
Thursday 8:30 am – 5:00 pm
Friday 7:00 am – 3:00 pm
Sat, Sun: Closed

Dental Website by Progressive Dental Marketing